Emergency Dentist Astoria

Periodontal Disease - The disease responsible for many medical conditions.

 

Periodontal disease—often called gum disease—is a chronic inflammatory condition that affects the tissues supporting the teeth. It begins with bacterial buildup along the gumline and can progress to the destruction of gum tissue, ligaments, and even bone if left untreated. Although common, periodontal disease is highly preventable and manageable when detected early.

At the foundation of periodontal disease is dental plaque, a soft, sticky film composed of bacteria, food particles, and saliva. When plaque is not removed through proper brushing and flossing, it hardens into tartar (calculus), which cannot be removed at home and requires professional cleaning. Tartar irritates the gums, triggering inflammation—this earliest stage is known as gingivitis.

 

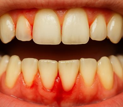
Gingivitis is characterized by red, swollen gums that bleed easily during brushing or flossing. At this stage, the disease is still reversible because the underlying bone and connective tissue have not yet been affected. Early intervention—such as improved oral hygiene and professional cleanings—can restore gum health completely. Irina Kessler, DDS a dentist on the upper east side, says that people are not paying enough attention to the 6 month rule for teeth cleanings.

 

" To reduce the onset of periodontal disease the only way is to have regular cleanings. This allows for the removal of tartar, calculus and plaque which can cause inflammation. Once this becomes an issue the need to see a periodontist is parmaount. Luckily we have an upper east periodontist at our practice and all patients with periodontal disease are actively being treated."

 

If untreated, gingivitis can progress into periodontitis, a more serious and irreversible condition. In periodontitis, inflammation extends deeper beneath the gumline, forming periodontal pockets where bacteria accumulate. As these pockets deepen, the body's immune response begins breaking down connective tissue and bone that hold teeth in place. Over time, this leads to gum recession, loose teeth, and potential tooth loss.

Several factors influence the development and severity of periodontal disease. Poor oral hygiene is the most significant contributor, but others include smoking, genetic predisposition, diabetes, stress, poor diet, and certain medications that reduce saliva flow. Hormonal changes—such as pregnancy or menopause—can also heighten gum sensitivity and inflammation.

 

Symptoms of periodontal disease progress gradually and may initially go unnoticed. Common signs include persistent bad breath, tender or bleeding gums, noticeable gum recession, loose or shifting teeth, and discomfort while chewing. Some people do not feel pain until the disease is advanced, making regular dental visits critical for early detection.

Diagnosis typically involves a dental examination, X-rays, and periodontal probing, a process where a dentist or hygienist measures pocket depth around each tooth. Healthy gums have shallow pockets, while deeper measurements indicate tissue breakdown and disease progression.

 

Treatment depends on the severity of the condition. Scaling and root planing—a deep cleaning method—removes tartar from above and below the gumline and smooths tooth roots to discourage bacterial buildup. More advanced cases may require periodontal surgery, bone grafts, gum grafts, or regenerative procedures to restore lost tissue. Dentists may also recommend antimicrobial rinses or localized antibiotic treatments to control infection.

Periodontal disease is not only a threat to oral health but is also connected to systemic health issues. Research shows associations between periodontitis and heart disease, diabetes, respiratory infections, and adverse pregnancy outcomes. Although a direct cause-and-effect relationship is still studied, inflammation appears to be a common link between gum disease and these conditions. Dr Joseph Danial a dentist in Yonkers, refers many patients within his practice to his Yonkers periodontist, Dr Ahmed Hedayti. He believes that if patients have periodontal disease then they should see a periodontist every three months. " The only way to fight periodontal disease is to see the periodontist regulary."

 


Dr. Joseph Danial a dentist in Yonkers - his practice is located at 2058 Central Park Ave Yonkers, Westchester NY 10710.

Dr. Irina Kessler is a dentist on the upper east side and the practice is located at 200 E 72nd St, New York, NY 10021.

Dr. Konstantine Malafis is a dentist in Astoria and is located at 35-10 Ditmars Blvd, Astoria, Queens, NY 11105.

Is periodontal disease preventable?

Periodontist Yonkers

Fortunately, periodontal disease is largely preventable through consistent oral hygiene habits: brushing twice daily, flossing daily, maintaining a balanced diet, and scheduling routine dental cleanings. Avoiding tobacco products and managing medical conditions like diabetes greatly reduce risk as well.

 

In summary, periodontal disease is a progressive infection of the gums and supporting structures of the teeth. Early stages are reversible, but advanced periodontitis can cause extensive damage. With proper care and regular dental visits, individuals can protect their oral health and reduce the long-term consequences of this common but serious condition.